하악 사랑니 4개 동시 발치 (수평매복 포함)

파노라마 X-ray

BEFORE하악 사랑니 4개 동시 발치 (수평매복 포함) 파노라마 비포
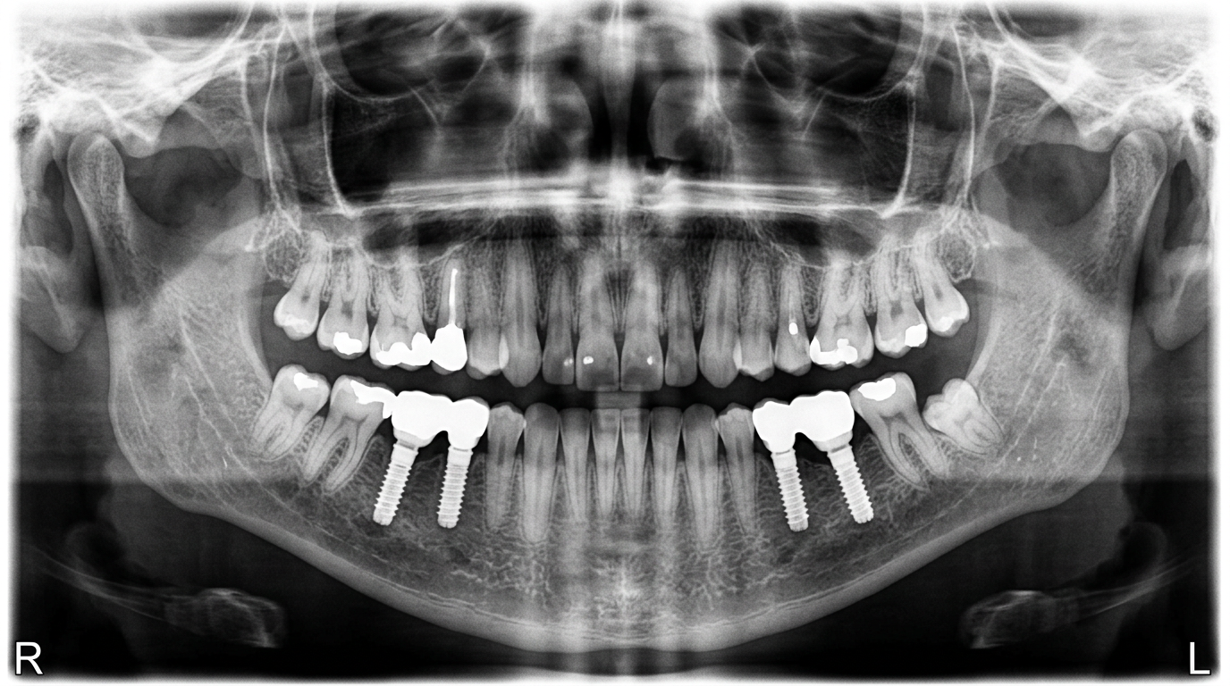
AFTER하악 사랑니 4개 동시 발치 (수평매복 포함) 파노라마 애프터

치료 경과

치료 개요

수평매복 사랑니 4개를 동일 날짜에 안전하게 발치한 케이스입니다.

진행 방식

  • CT 촬영으로 하치조신경관과의 거리 정밀 측정
  • 수평매복 2개는 치관 분할 후 단계적 제거
  • 수면 진정(안전한 IV 진정) 선택 가능
  • 전체 소요시간 약 60분

발치 후 관리

  • 냉찜질 48시간
  • 부드러운 음식 3일
  • 처방약 복용 (항생제·소염진통제)
  • 실밥 제거 10일 후

신경 손상 없이 안전하게 완료되었습니다.

담당 의료진

최효영 대표원장

최효영대표원장

안녕하세요, 이음치과의원 대표원장 최효영입니다. 환자분의 치아 하나하나에 정성을 담아 진료합니다. "실력으로 신뢰를, 신뢰로 마음까지 잇겠습니다."

프로필 자세히 보기 →

※ 본 케이스는 환자의 동의를 받아 공개되었으며, 개인 정보 보호를 위해 식별 가능한 정보는 제외하였습니다. 치료 결과는 개인의 구강 상태·생활 습관·관리 방법에 따라 달라질 수 있습니다.

← 비포애프터 목록으로