하악 구치부 임플란트 3본 식립 (10년 이상 결손)
파노라마 X-ray


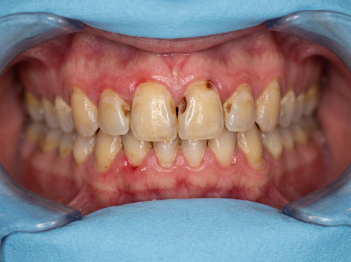
구강 사진


치료 경과
담당 의료진

최효영대표원장
안녕하세요, 이음치과의원 대표원장 최효영입니다. 환자분의 치아 하나하나에 정성을 담아 진료합니다. "실력으로 신뢰를, 신뢰로 마음까지 잇겠습니다."
프로필 자세히 보기 →




안녕하세요, 이음치과의원 대표원장 최효영입니다. 환자분의 치아 하나하나에 정성을 담아 진료합니다. "실력으로 신뢰를, 신뢰로 마음까지 잇겠습니다."
프로필 자세히 보기 →